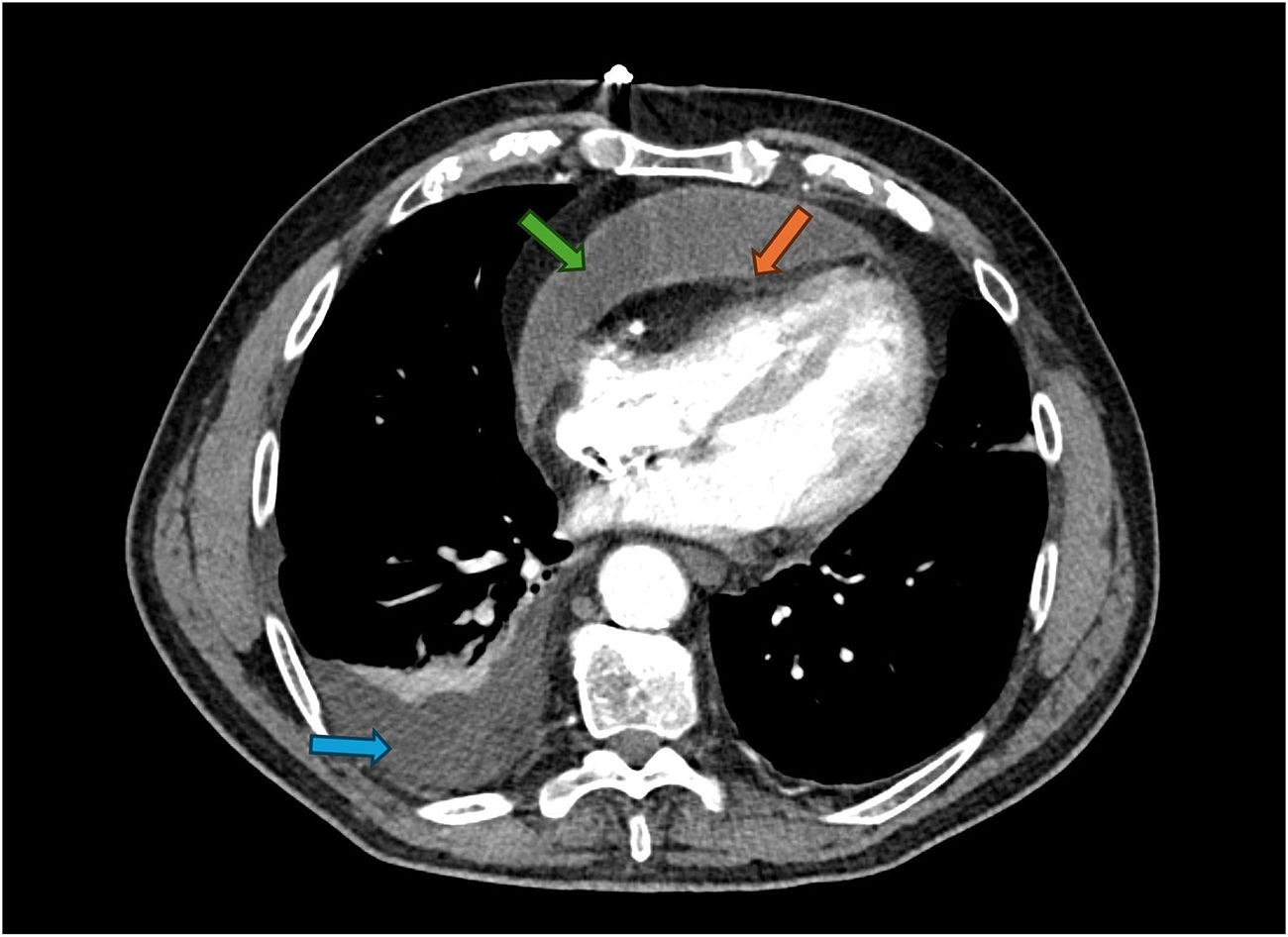
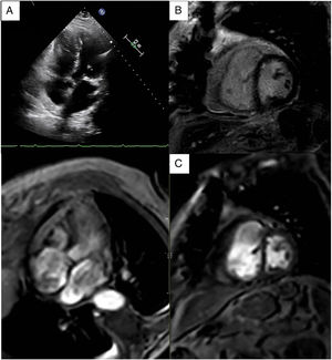
Rev Esp Cardiol. 2025;78:1004-6
Identify yourself
Not yet a subscriber to the journal?
Purchase access to the article
By purchasing the article, the PDF of the same can be downloaded
Price: 19,34 €
Phone for incidents
Monday to Friday from 9am to 6pm (GMT+1) except for the months of July and August, which will be from 9am to 3pm
Calls from Spain
932 415 960
Calls from outside Spain
+34 932 415 960
Copyright ©
2025. Sociedad Española de Cardiología
