Introducción
José M. de la Torre Hernández
Presidente del Comité Científico del Congreso. Vicepresidente de la SEC
Comités ejecutivo, organizador y científico
Comité de selección de comunicaciones
Listado completo de comunicaciones
Índice de autores
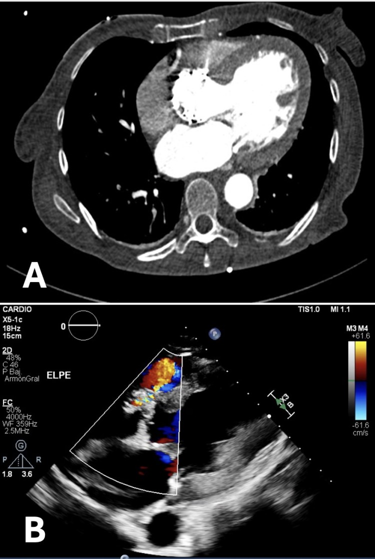
Introducción y objetivos: Las fístulas tras implante de válvula aórtica transcatéter (TAVI) son una complicación infrecuente y con presentación clínica heterogénea. La literatura publicada es escasa y carece de casos que incluyan seguimiento a largo plazo. El manejo inicial resulta especialmente complejo debido al alto riesgo quirúrgico de estos pacientes y la ausencia de evidencia en cuanto a las indicaciones de intervención y la opción más adecuada para ello (quirúrgico o percutáneo).
Métodos: Se presentan los casos de fístula tras implante de TAVI diagnosticados en nuestro centro, así como su seguimiento a largo plazo.
Resultados: Un total de cuatro pacientes fueron diagnosticados de fístula tras implante de TAVI. Todos fueron hallazgos casuales y asintomáticos, sin haber registrado casos con repercusión clínica o hemodinámica desde el inicio de esta técnica en nuestro centro en 2013. El motivo de implante fue estenosis aórtica grave sintomática, presentando todos ellos marcada calcificación valvular. Los implantes se realizaron por vía transfemoral, empleando prótesis aórticas percutáneas expandibles con balón. La comunicación se localizó entre seno coronariano derecho y ventrículo derecho en tres de los casos y entre seno coronariano derecho y aurícula derecha en el restante. Se realizó manejo conservador y seguimiento ambulatorio de entre diez meses y cinco años y medio, confirmando estabilidad ecocardiográfica en todos los casos. Si bien ninguno de los pacientes presentó sintomatología cardiovascular, la paciente con fístula hacia aurícula derecha desarrolló anemia hemolítica significativa y sintomática atribuida a la misma, encontrándose a día de hoy pendiente de valorar cierre percutáneo.
|
Características de los casos detectados |
||||
|
Caso 1 |
Caso 2 |
Caso 3 |
Caso 4 |
|
|
Seguimiento |
67 meses |
34 meses |
12 meses |
10 meses |
|
Edad (en años) |
88 |
65 |
81 |
80 |
|
Sexo |
Varón |
Mujer |
Mujer |
Varón |
|
Comorbilidades |
HTA, DLP, portador de marcapasos DDD por BAV completo |
HTA, DM 2, hipoacusia grave tras meningitis en la infancia, antecedente de síndrome de tako-tsubo mesoventricular con disfunción de VI moderada recuperada |
HTA, DLP, artritis reumatoide, AOS grave |
HTA, DLP, flutter auricular paroxístico no común, depresión |
|
FEVI |
Conservada |
Levemente reducida |
Conservada |
Conservada |
|
AVA (cm2) |
0,74 |
0,58 |
0,61 |
0'.77 |
|
Gradiente medio/máximo valvular aórtico (mmHg) |
51/85 |
70/112 |
47/84 |
43/69 |
|
Área del plano valvular telediastólico en TC (mm2) |
400 |
800 |
507 |
582 |
|
Cateterismo coronario |
Sin lesiones significativas |
Sin lesiones significativas |
Sin lesiones significativas |
Sin lesiones significativas |
|
Prótesis implantada (Fabricante) |
SAPIEN 3 Ultra (Edwards Lifesciences) |
MyVal (Meril Life sciences) |
SAPIEN 3 Ultra (Edwards Lifesciences) |
SAPIEN 3 Ultra (Edwards Lifesciences) |
|
Número |
26 |
32 |
26 |
29 |
|
Área protésica (mm2) |
530 |
804 |
530 |
660 |
|
Predilatación o posdilatación |
No |
Valvuloplastia con balón previa |
No |
Posdilatación |
|
Localización de fístula |
Seno Valsalva derecho- VD |
Seno Valsalva derecho- VD |
Seno Valsalva derecho- AD |
Seno Valsalva derecho- VD (TSVD) |
|
Gradiente fístula (mmHg) |
No se describe |
90 |
102 |
50 |
|
Otras complicaciones |
No |
Disección eje iliofemoral derecho que requiere implante de stent |
BAV completo que requiere marcapasos transitorio |
BAV completo que requiere marcapasos transitorio |
|
Seguimiento ecocardiográfico |
Estable |
Estable |
Estable |
Estable |
|
Complicaciones asociadas |
No |
No |
Anemia hemolítica significativa y sintomática |
No |
|
AD: aurícula derecha; AOS: apnea obstructiva del sueño; AVA: área valvular aórtica; BAV: bloqueo auriculoventricular; DLP: dislipemia; DM 2: diabetes mellitus tipo 2; FEVI: fracción de eyección del ventrículo izquierdo; HTA: hipertensión arterial; TC: tomografía computarizada; VD: ventrículo derecho; VI: ventrículo izquierdo. |

AngioTC sincronizado (A) y ecocardiograma transtorácico en plano paraesternal eje largo (B) en el que se visualiza fístula entre raíz aórtica y ventrículo derecho.
Conclusiones: Las fístulas tras implante de TAVI son una complicación infrecuente y requieren un abordaje individualizado. El manejo conservador inicial asociado a seguimiento clínico y ecocardiográfico muestra en nuestra experiencia buenos resultados a largo plazo en los casos de fístulas restrictivas sin repercusión clínica ni hemodinámica.