Introducción
José M. de la Torre Hernández
Presidente del Comité Científico del Congreso. Vicepresidente de la SEC
Comités ejecutivo, organizador y científico
Comité de selección de comunicaciones
Listado completo de comunicaciones
Índice de autores
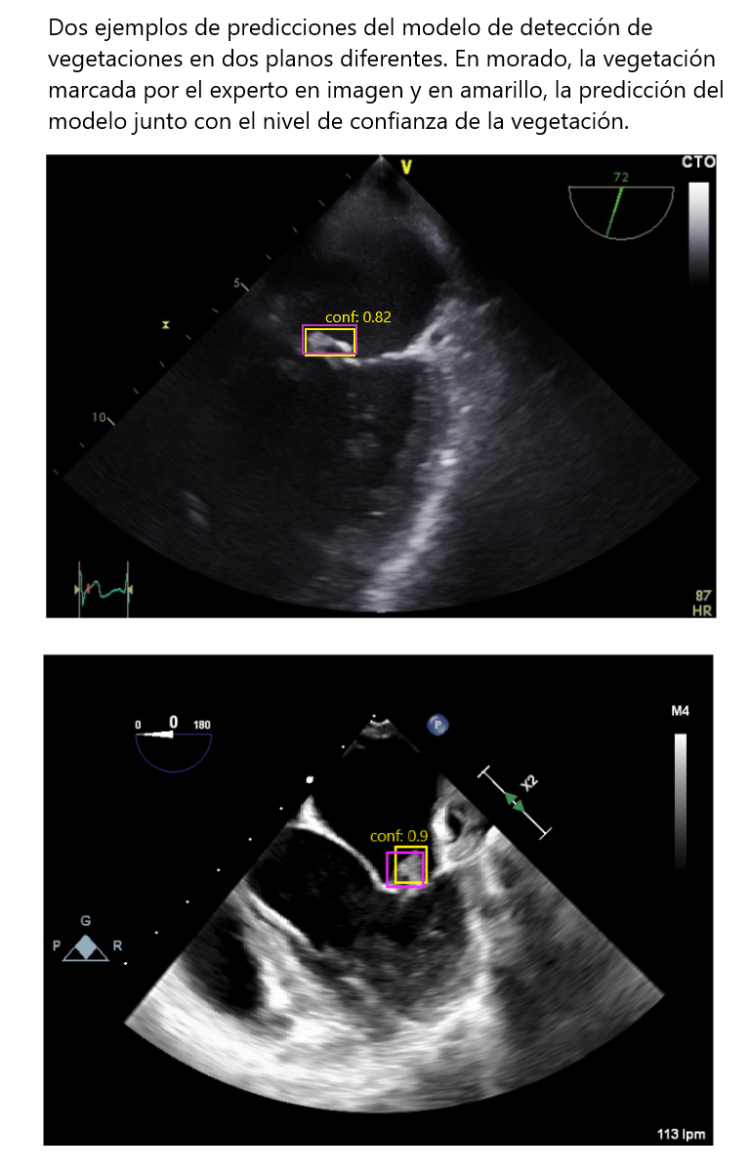
Introducción y objetivos: La endocarditis infecciosa (EI) es una afección grave y potencialmente mortal, asociada con complicaciones graves, que a menudo conducen a la formación de vegetaciones en las válvulas cardiacas. Estas vegetaciones están relacionadas con embolias cerebrales, y la probabilidad de embolización está influenciada por características de las vegetaciones como el tamaño y la forma, las cuales pueden ser difíciles de medir. Los modelos actuales para estimar dicho riesgo han mostrado una capacidad predictiva limitada. Este estudio presenta un sistema de inteligencia artificial (IA) diseñado para detectar vegetaciones asociadas a la EI en las cámaras izquierdas del corazón mediante imágenes de ecocardiografía transesofágica (ETE).
Métodos: Estudio observacional retrospectivo realizado en 7 hospitales, dividido en dos fases. En la primera fase, se anotaron manualmente datos de 203 pacientes, los cuales se utilizaron para entrenar un modelo de IA capaz de recibir una imagen fija de ETE como entrada y, en caso de detectar alguna vegetación, generar las coordenadas de las vegetaciones detectadas junto con un nivel de confianza. El modelo se evaluó utilizando métricas tradicionales para evaluar su capacidad de detección de vegetaciones en imágenes ecocardiográficas. A su vez, se realizó una validación clínica para evaluar la capacidad del modelo de distinguir entre pacientes con y sin vegetaciones en secuencias completas de video ETE. Esta prueba involucró una cohorte independiente de 60 pacientes. El modelo desarrollado en la primera fase se aplicó secuencialmente, fotograma por fotograma, a cada video ETE, y la salida de cada fotograma se agrupó para generar una predicción sobre la presencia o ausencia de vegetaciones a lo largo del video.
Resultados: En la primera fase, el modelo alcanzó métricas prometedoras con una precisión de 0,81 y una sensibilidad de 0,72 para la detección de vegetaciones en imágenes. En la segunda fase, la validación clínica demostró una sólida capacidad diagnóstica del modelo para identificar pacientes con vegetaciones al analizar secuencias completas de video, con un área bajo la curva (AUC) de la característica operativa del receptor (ROC) de 0,92.

Ejemplos de predicción del modelo de IA.
Conclusiones: El algoritmo demostró un alto rendimiento en la detección de vegetaciones e identificación de pacientes con vegetaciones, lo que podría ser un paso inicial para la medición automática de vegetaciones.