La reparación mitral percutánea de borde a borde es una técnica con poca evidencia acerca del método más preciso para medir el área valvular mitral (AVM) posprocedimiento. Nuestro objetivo fue evaluar el mejor método en este contexto y su correlación con el gradiente medio transvalvular.
MétodosSe realizó un registro de pacientes sometidos a reparación mitral percutánea, y se analizaron los diferentes métodos de medición de AVM y su correlación con el gradiente medio.
ResultadosSe incluyó a 167 pacientes, con una edad media de 76 años (± 10,3); el 54% eran varones y el 46% mujeres; con etiología degenerativa (45%), funcional (39%) y mixta (16%). Las medidas de AVM posclip fueron 1,89±0,60 cm2 mediante tiempo de hemipresión (THP) y 2,87±0,83 cm2 mediante planimetría 3D, y el gradiente medio promedio fue de 3±1,19mmHg. El AVM mediante planimetría 3D presentó una mejor correlación con el gradiente medio (r=0,46, p<0,001) que el AVM obtenida por THP (r=0,19, p=0,048), así como una mayor concordancia interobservador que la obtenida por el THP (coeficiente de correlación intraclase de 0,90 frente al 0,81%, y coeficiente de variación de 9,6 frente al 19,7%, respectivamente).
ConclusionesNuestro estudio muestra que el THP infraestima significativamente el AVM posimplante de clip mitral comparado con la medición directa mediante planimetría 3D transesofágica, y que este último método presenta una mejor correlación con los gradientes posimplante y una menor variabilidad interobservador, lo que sugiere que es un método más apropiado para evaluar la estenosis mitral en este contexto.
Palabras clave
La reparación mitral percutánea de borde a borde es una alternativa bien establecida para el tratamiento de la insuficiencia mitral en pacientes con riesgo quirúrgico elevado1,2. La reparación mitral percutánea intenta mimetizar la técnica de Alfieri, y consiste en colocar un clip entre los velos (usualmente entre A2 y P2). De esta forma, se crea un doble orificio de llenado diastólico y puede reducirse el grado de insuficiencia mitral para así disminuir la sintomatología en pacientes adecuadamente seleccionados1,3.
La monitorización ecocardiográfica del procedimiento es importante no solo para guiar la implantación del dispositivo, sino para la evaluación de los resultados y potenciales complicaciones del procedimiento4,5. Un aspecto de especial relevancia es la evaluación de la estenosis mitral producida por el dispositivo1–3. Antes de liberar el dispositivo se comprueba el grado de estenosis producido, y si este es importante, se debe retirar sin implantarlo4,5. Una estenosis valvular significativa, definida como un área valvular mitral (AVM)<1,5 cm2, es excepcional cuando se implantan 1-2 clips, y sin evidencia de progresión a los 4 años de seguimiento3. En cuanto al gradiente medio, se usa un punto de corte de 5mmHg como predictor de gradientes elevados al alta4. No se debe implantar más clips si el gradiente medio es >5 mmHg5,6.
La forma clásica para evaluar el AVM mediante el tiempo de hemipresión (THP) se validó originalmente para valorar la estenosis mitral en válvulas nativas reumáticas, y no está adecuadamente validada en el contexto de una reparación mitral percutánea de borde a borde7,8. El THP es un método fácil de realizar, pero hay varios factores que pueden influir en su correlación con el AVM, entre los cuales destacan la disfunción diastólica y la disminución de la pendiente en casos de insuficiencia aórtica significativa, así como cuando disminuye la distensibilidad del ventrículo izquierdo, tal como sucede en la estenosis mitral degenerativa9. La planimetría 3D de los orificios residuales es un método prometedor para optimizar la reproducibilidad del AVM, ya que no depende de las condiciones hemodinámicas, la distensibilidad ventricular o la presencia de otras valvulopatías9,10. En la práctica clínica habitual, ha empezado a usarse en la mayoría de los centros para evaluar el AVM residual tras el implante de un clip1,11. Sin embargo, no está exenta de limitaciones, y puede llegar a ser difícil su trazado dado la variabilidad en la geometría del orificio y la calcificación de la válvula, por lo que también depende de la experiencia del operador9,11. El objetivo del estudio fue ver cuál de estos dos métodos para medir el AVM (THP y planimetría 3D) es más reproducible y presenta una mejor correlación con los gradientes transvalvulares posclip.
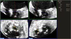
MÉTODOSSe realizó un registro prospectivo de un total de 167 pacientes consecutivos en los que se llevó a cabo una reparación valvular mitral percutánea de borde a borde en nuestro centro desde octubre de 2010 a mayo de 2023. La ecocardiografía transesofágica del procedimiento se llevó a cabo utilizando una plataforma Philips Epic 7 y una sonda X7-2t (Philips Medical Systems, Estados Unidos). Todas las mediciones se realizaron de acuerdo con las guías de práctica clínica1,4,8. Inmediatamente antes del inicio del procedimiento y después de la liberación del último clip, en la propia sala de hemodinámica, mediante ecocardiografía transesofágica, se utilizó el Doppler continuo para la evaluación del gradiente medio a través de la válvula mitral y del AVM por THP9. El haz del Doppler continuo se colocó en el centro del orificio más grande para obtener un espectro Doppler de buena calidad. Tanto para los gradientes como para el THP se realizó el promedio de 3 latidos, y de 5 latidos en pacientes en fibrilación auricular. En los casos en los que el flujo transmitral presentaba dos pendientes, una inicial más abrupta y otra más tardía y tendida, se usó el segmento mesodiastólico para el cálculo del THP, como recomiendan las guías de práctica clínica1,4,8. Además, se realizaron adquisiciones de zoom 3D de la válvula mitral para la medición AVM por planimetría 3D mediante el software de cuantificación 3D (3DQ), de Philips Medical Systems (figura 1). La válvula mitral se muestra utilizando tres planos orientados ortogonalmente. Para no sobreestimar el AVM, el plano en el que se hace la medición se orienta perpendicularmente a las valvas de la válvula10,11. Después del clipado se realizó la medición del área 3D de cada orificio por separado, ya que en la mayoría de los casos los orificios tienen una orientación diferente en el espacio (figura 1), sumando finalmente el área de ambos como AVM total. El comité ético de investigación del hospital aprobó el estudio.
Para evaluar el efecto de la variabilidad interobservador, un segundo observador independiente analizó 20 casos seleccionados al azar. Ambos investigadores eran experimentados, y habían utilizado previamente el método THP y el de planimetría 3D durante varios años. En las mismas adquisiciones 2D y 3D, cada observador obtuvo el AVM por el método THP clásico y por planimetría 3D, como se describió anteriormente. Ambos lectores estaban cegados a las mediciones anteriores.
Análisis estadísticoTodos los análisis estadísticos se llevaron a cabo utilizando el SPSS versión 23.0 (SPSS Inc., Estados Unidos) y MedCalc versión 22 (MedCalc Software, Bélgica). Las variables continuas se presentan como media ± desviación estándar (DE), y los datos categóricos, en porcentajes y frecuencias absolutas. Se utilizó la regresión lineal y el coeficiente r de Pearson para estudiar la correlación entre variables continuas. Se evaluó la reproducibilidad interobservador mediante coeficientes de correlación intraclase y coeficientes de variación (calculados como la DE de las diferencias entre las dos mediciones dividida por el valor medio). Se consideró estadísticamente significativos los valores de p<0,05.
RESULTADOSSe incluyó un total de 167 pacientes (n=167), de los cuales 91 fueron varones (54%) y 76 mujeres (46%). La edad promedio del total de los pacientes fue de 76 años, con una edad mínima de 33 años y una máxima de 95 años (DE±10). En cuanto a las características clínicas de relevancia de nuestros pacientes (tabla 1), destaca la presencia de hipertensión arterial (70%), diabetes mellitus (56,3%), antecedente de cardiopatía isquémica (41,3%), clase funcional de la New York Heart Association III/IV (77,8%) y fibrilación auricular (55%). Un 48% requirieron al menos una admisión por insuficiencia cardiaca. En cuanto al tratamiento farmacológico recibido por los pacientes, el 61% recibieron tratamiento con inhibidores de la enzima de conversión de la angiotensina, antagonistas del receptor de la angiotensina II o inhibidores del receptor de angiotensina neprilisina; el 62%, bloqueadores beta, y el 74%, diuréticos. Un 8% eran portadores de resincronizador cardiaco previo al procedimiento de reparación mitral percutánea. En cuanto a la etiología de la insuficiencia mitral, el mayor porcentaje correspondió a insuficiencia de etiología degenerativa (45%), seguido de etiología funcional (39%), y en un menor porcentaje, se englobó a los pacientes con etiología mixta (16%). En cuanto al tipo y cantidad de dispositivos utilizados, estos se muestran en la tabla 2. En los casos en los que se empleó el dispositivo PASCAL, se requirió al menos 2 dispositivos en un mayor porcentaje de casos (el 100 y el 42%, respectivamente).
Características clínicas de la población
| Comorbilidades | N=167 | Porcentaje |
|---|---|---|
| Hipertensión arterial | 117 | 70% |
| Dislipidemia | 94 | 56,3% |
| Diabetes mellitus tipo 2 | 54 | 32,3% |
| Diabéticos con requerimiento de insulina | 24 | 14,4% |
| Enfermedad arterial periférica | 29 | 17,4% |
| Cardiopatía isquémica | 69 | 41,3% |
| Cardiopatía isquémica reciente | 9 | 5,4% |
| Enfermedad renal crónica | 2 | 1,19% |
| Fibrilación auricular | 92 | 55% |
| Clase funcional NYHA III/IV | 130 | 77,8% |
| Ingreso por insuficiencia cardiaca | 80 | 48% |
| Portadores de resincronizador cardiaco | 14 | 8,3% |
| Tratamiento farmacológico con IECA/ARA-II/ARNI | 102 | 61% |
| Tratamiento farmacológico con bloqueadores beta | 104 | 62,3% |
| Tratamiento farmacológico con diurético | 124 | 74,3% |
ARA-II: antagonista del receptor de la angiotensina II; ARNI: inhibidor del receptor de angiotensina neprilisina; IECA: inhibidor de la enzima de conversión de la angiotensina; NYHA: New York Heart Association.
Tipo de dispositivo y número de dispositivos usados
| Tipo de dispositivo utilizado | N=167 | Casos con requerimiento >1 clip | % con requerimiento >1 clip |
|---|---|---|---|
| MitraClip NTr | 78 (47%) | 18 | 23% |
| MitraClip XTr | 35 (21%) | 9 | 25% |
| MitraClip NTW | 18 (11%) | 5 | 28% |
| MitraClip XTW | 13 (8%) | 4 | 30% |
| PASCAL | 2 (1%) | 2 | 100% |
| PASCAL Ace | 21 (12%) | 9 | 42% |
En la tabla 3, se muestra las características ecocardiográficas previas y posprocedimiento inmediato. Destaca un volumen telediastólico promedio de 137ml y una disfunción sistólica en promedio leve-moderada (fracción de eyección promedia del 45%). En promedio, el AVM preintervención fue de 5,46 cm2, y como parámetro pronóstico de relevancia destaca una relación de integral de velocidad/tiempo de flujo sistólico/diastólico en venas pulmonares (SVti/DVti)<1 (0,59), aspecto considerado de particular mal pronóstico en el contexto del implante de dispositivo MitraClip12,13. Destaca la mejoría significativa SVti/DVti, obteniéndose un índice promedio de 1,1 (con mejoría respecto al previo de 0,59, p<0,005). La relevancia de este valor se centra en que un índice SVti/DVti bajo (< 0,72) después del implante predice una recurrencia de la insuficiencia mitral y un peor pronóstico a largo plazo12–14. Por contra, se sabe que una mejora en el perfil de flujo (SVti > DVti) de venas pulmonares es un mejor predictor de supervivencia y un predictor de disminución en la tasa de rehospitalización12.
Características ecocardiográficas de la población previas y posprocedimiento inmediato
| Variable | Media | Mínima | Máxima | DE |
|---|---|---|---|---|
| Preprocedimiento | ||||
| Volumen de aurícula izquierda (ml) | 86 | 27 | 393 | 39,6 |
| DTDVI (mm) | 55 | 35 | 82 | 10 |
| DTSVI (mm) | 41 | 21 | 73 | 12 |
| VTDVI (ml) | 137 | 41 | 298 | 62 |
| VTSVI (ml) | 81 | 10 | 271 | 57 |
| Fracción (%) | 45 | 9 | 75 | 16 |
| IVT del tracto de salida | 17,3 | 14,6 | 20,5 | 2,4 |
| Presión sistólica de arteria pulmonar (mmHg) | 46 | 20 | 107 | 16 |
| TAPSE (mm) | 18 | 6 | 31 | 4 |
| SVti/DVti | 0,59 | −1,47 | 4,6 | 0,64 |
| Área valvular por planimetría 3D previa a la intervención | 5,46 | 3 | 10,8 | 1,28 |
| Área valvular por THP previo a la intervención | 3,05 | 1,32 | 6,8 | 1,02 |
| Gradiente medio transvalvular previo a la intervención | 1,82 | 0,5 | 4 | 0,8 |
| ERO 3D previo a la intervención | 0,63 | 0,20 | 1,98 | 0,32 |
| Posprocedimiento | ||||
| IVT del tracto de salida | 19,2 | 16,1 | 22,0 | 2,2 |
| Índice SVti/DVti | 1,11 | 0,11 | 5,15 | 0,70 |
| Gradiente medio (mmHg) | 3,06 | 0,96 | 6,5 | 1,19 |
| Área valvular por THP (cm2) | 1,89 | 0,68 | 4,2 | 0,6 |
| Área valvular por suma de orificios por planimetría 3D cm2 | 2,87 | 1,63 | 5,76 | 0,83 |
DE: desviación estándar; DTDVI: diámetro telediastólico del ventrículo izquierdo; DTSVI: diámetro telesistólico del ventrículo izquierdo; ERO 3D: orificio regurgitante efectivo tridimensional; IVT: integral velocidad tiempo; SVti/DVti: relación de integrales de velocidad/tiempo de flujo sistólico/diastólico en venas pulmonares; TAPSE: desplazamiento sistólico del plano del anillo tricuspídeo; THP: tiempo de hemipresión; VTDVI: volumen telediastólico del ventrículo izquierdo, VTSVI: volumen telesistólico del ventrículo izquierdo.
En lo que respecta a la medición del AVM posclip, se obtuvo un AVM promedio por suma de orificios por planimetría 3D de 2,87 cm2, con una reducción cercana al 50% respecto al AVM medida previamente a la intervención por este método. En cuanto al AVM medida por THP, el promedio fue de 1,89 cm2, mientras que el gradiente medio transvalvular fue en promedio de 3mmHg (DE±1,19). La resolución temporal promedia de las adquisiciones zoom 3D fue de 16 volúmenes/s (Hz) (rango entre 12 y 20). El AVM obtenida mediante planimetría 3D presentó una mejor correlación con el gradiente medio posclip (y=3,3351 + −0,2176 x, r=0,46, p<0,001) que el AVM obtenida por THP (y=2,1937 + −0,08978 x, r=0,19, p=0,048) (figura 2), aunque, como puede observarse en la figura, existió una gran dispersión de puntos y la correlación fue pobre (r=0,46 para la planimetría 3D y r=0,19 para el THP). La planimetría 3D obtuvo además una mayor concordancia interobservador (coeficiente de correlación intraclase de 0,90 y coeficiente de variación del 9,6%) que la conseguida por THP (coeficiente de correlación intraclase de 0,81 y coeficiente de variación del 19,7%).
DISCUSIÓNActualmente, no existe una prueba de referencia (gold standard) para la medición del AVM tras el procedimiento de reparación mitral percutánea de borde a borde14,15. Las guías europeas y americanas de 20095,14 recomendaron la planimetría bidimensional (2D) y el método THP para evaluar el AVM en la estenosis mitral nativa, mientras que las recomendaciones de 2011 para el uso de la ecocardiografía en las nuevas intervenciones transcatéter no especificaron cómo evaluar el AVM durante la reparación mitral percutánea de borde a borde4,14.
El contexto de la reparación valvular mitral percutánea es único por las siguientes razones. Las presiones en la aurícula izquierda y los volúmenes del ventrículo izquierdo cambian por completo en unos pocos latidos después de la colocación del clip15,16. El paciente está intubado y ventilado, lo que conduce a una reducción de la poscarga del ventrículo izquierdo, una saturación de oxígeno superior a la normal en la arteria pulmonar y, por lo tanto, sobreestimación de los volúmenes sistólicos del ventrículo izquierdo calculados según el principio de Fick14,15,17. El procedimiento se asocia con la creación de una comunicación interauricular, lo que influye aún más en los cálculos del volumen sistólico debido al cortocircuito de izquierda a derecha17,18.
La evaluación del AVM por ecocardiografía tiene una gradación de larga data y se ha validado en varios entornos19,20. El método THP está validado en la estenosis mitral reumática, y en pacientes con combinaciones de estenosis mitral e insuficiencia mitral, es relativamente independiente del flujo19,21. Sin embargo, presenta importantes limitaciones en el contexto de la valvulotomía mitral percutánea22,23. En cuanto a su uso tras el implante de un clip mitral, también está sujeto a importantes limitaciones. Los cambios en los volúmenes y presiones ventriculares después de la colocación de un clip mitral, así como el uso de ventilación mecánica con la disminución en la poscarga; la creación de un defecto septal por la punción transeptal requerida para avanzar el dispositivo, y por ende, la influencia de este defecto y el cortocircuito que genera (de izquierda a derecha) en el volumen latido, y otras cuestiones, como la disfunción diastólica o los cambios en la presión de la aurícula izquierda, hacen que la fórmula de Gorlin para el cálculo del AVM a través de la fórmula del THP sea un método impreciso en este contexto15–17,22,23. Todos nuestros pacientes tenían una combinación de estas condiciones que limitan la precisión del método THP, lo que puede explicar la subestimación general del AVM por THP. Varios estudios han encontrado que la medición del AVM por THP es una fuente de error en otros contextos similares, como inmediatamente después de una valvuloplastia mitral o una reparación valvular quirúrgica, debido a los cambios agudos en las condiciones de carga y la geometría de la válvula18,19.
La ecocardiografía transesofágica tridimensional tiene el potencial de ser el método de elección para la evaluación del AVM20,21,24. El método de planimetría directa a través de medición 3D con suma de orificios es directo y tiene la ventaja de que no depende de las condiciones hemodinámicas del paciente25. Sin embargo, no está exento de limitaciones. Es un método que es difícil de utilizar en la sala de hemodinámica, ya que requiere de habilidades avanzadas del operador en reconstrucción 3D y de un mayor tiempo para su procesado, y puede causar errores si se traza el área de los orificios estenóticos de forma cercana a las comisuras14,20. Además, el resultado puede ser supraestimado si no se calcula el área de cada orificio de manera independiente14,20. Por otro lado, la resolución temporal de las adquisiciones con zoom 3D es más baja en pacientes con fibrilación auricular o con frecuencias elevadas, lo que puede haber influenciado los resultados de este estudio. A medida que disminuye la resolución temporal, aumentan las posibilidades de que se pase por alto el momento con la apertura de válvula más grande, lo que puede conducir a una subestimación del AVM14,20. Sin embargo, con los nuevos equipos las adquisiciones 3D tienen una mayor resolución temporal y el impacto de la frecuencia cardiaca elevada es menos importante que en el pasado. Aun y con todas estas limitaciones de las mediciones 3D, el AVM obtenida por este método tuvo una correlación mucho mejor con los gradientes que el THP, por lo que los resultados se consideran concluyentes.
Al no existir una prueba de referencia para medir el AVM (y, por lo tanto, la estenosis mitral) tras el procedimiento MitraClip, una forma indirecta de evaluar la estenosis es midiendo el gradiente transvalvular por Doppler continuo. Este método cuenta con la ventaja de que las mediciones son válidas tanto en válvulas mitrales de área de orificio simple como doble14,18. Las guías actuales sobre ecocardiografía durante una intervención valvular percutánea lo recomiendan como método accesible para guiar el riesgo de estenosis durante la intervención, considerando como punto de corte un valor ≥ 5mmHg como un método validado para predecir resultados a largo plazo25–27.
En nuestro estudio retrospectivo de pacientes sometidos a reparación mitral percutánea de borde a borde, comparamos el AVM obtenida inmediatamente después de la intervención medida de forma no invasiva mediante dos métodos ecocardiográficos diferentes (THP y planimetría 3D), con el objetivo de ver cuál era más reproducible y se correlacionaba mejor con el gradiente medio transvalvular posclip (figura 3). En nuestro estudio, al igual que en otros previos, el AVM obtenida por el método de THP tendió a infraestimar el AVM respecto al área valvular medida por planimetría directa 3D14,26. Además, el AVM conseguida por planimetría 3D obtuvo una mejor correlación con los gradientes transvalvulares, y una menor variabilidad interobservador, lo que indica que se trata de un método más apropiado que el THP para evaluar el AVM tras la realización de una reparación mitral de borde a borde.
El reciente estudio de Kagawa et al.28 ha confirmado la importancia pronóstica de la medida del AVM posclip mediante planimetría 3D transesofágica, en los pacientes con insuficiencia mitral degenerativa, con un incremento de mortalidad a largo plazo en los sujetos con AVM reducida posclip (< 1,5 cm2). No ocurrió así en los pacientes con insuficiencia de etiología funcional, probablemente debido a que estos tienen otros condicionantes que afectan a su pronóstico, como es la presencia de una miocardiopatía con función sistólica reducida o cardiopatía isquémica subyacente. Los resultados de este trabajo enfatizan la importancia de una correcta medida del AVP posimplante de clip mitral. Futuros estudios con un mayor tamaño muestral deben confirmar la importancia pronóstica del AVM reducida en todos los subgrupos de pacientes.
LimitacionesDentro de las limitaciones de nuestro estudio se encuentra la heterogeneidad de la población de los pacientes que fueron sometidos a reparación valvular mitral y el tamaño reducido de la muestra, así como la heterogeneidad en los tipos de dispositivos utilizados. Existen otros factores dependientes de los pacientes, como la presencia de fibrilación auricular en un gran número de ellos (55%). Una importante limitación es no disponer de una prueba de referencia con el que comparar el AVM obtenida por el THP y la planimetría 3D. Esta prueba de referencia sería el AVM obtenida por anatomía patológica en las autopsias de los pacientes. Ante la imposibilidad de disponer de dicha prueba de referencia, se optó por comparar ambos métodos con el gradiente medio obtenido por Doppler, asumiendo que el mejor método es el que tenga una mejor correlación con este, si bien este hecho no se puede asumir a ciencia cierta, al tener también el gradiente medio ciertas limitaciones. Una de las limitaciones de las mediciones Doppler continuo es su dependencia de parámetros hemodinámicos, como los valores de hemoglobina y la frecuencia cardiaca. Se debe esperar que, con la normalización del nivel de hemoglobina, los gradientes transmitrales disminuyan ligeramente con el tiempo. Sin embargo, en el estudio de Herrmann et al.27, los gradientes transmitrales no cambiaron significativamente dentro de los 24 meses de seguimiento. La presencia de una comunicación interauricular residual puede influir en el gradiente transmitral y el THP, si bien, al realizar estas medidas con el catéter aun en posición transeptal, creemos que el shunt y la influencia deben ser mínimas. La insuficiencia residual importante puede tener influencia sobre los gradientes, y sin embargo no se evaluó el impacto del grado de insuficiencia residual sobre la correlación de las mediciones de ambos métodos. No se evaluó la correlación entre las mediciones volumétricas y la tasa de volumen obtenida. Otra limitación importante es no disponer de un valor de corte de área anatómica mitral medida posclip que prediga una estenosis clínicamente relevante en el seguimiento. El hecho de tratarse de un estudio transversal sin seguimiento clínico de los pacientes ha limitado que se estudie este aspecto. Sin embargo, el reciente estudio de Kagawa et al.28 ha confirmado la importancia pronóstica de la medida del AVM posclip mediante planimetría 3D transesofágica en los pacientes con insuficiencia mitral degenerativa, con un incremento de mortalidad a largo plazo en los pacientes con AVM posclip reducida (< 1,5 cm2).
CONCLUSIONESEn nuestra cohorte, el THP infraestimó significativamente el AVM posimplante de clip comparada con la medición directa mediante planimetría 3D transesofágica, con una menor variabilidad interobservador. Por lo tanto, parece más adecuado obtener el AVM por planimetría 3D y sumatoria de cada orificio valvular tras el implante de un clip mitral que mediante THP.
La evaluación de la estenosis mitral tras el implante de un clip mitral es de una gran relevancia, ya que la presencia de una estenosis mitral significativa puede condicionar el pronóstico del paciente y limita la posibilidad de poner más dispositivos en el caso de que persista una insuficiencia mitral significativa tras el implante del primer dispositivo. El método clásico para evaluar el AVM, el THP, no se ha validado adecuadamente tras el implante de un clip mitral, y hay indicios de que la planimetría 3D es un método superior en este contexto.
¿QUÉ APORTA DE NUEVO?Nuestro estudio demuestra que la planimetría 3D transesofágica es un método más adecuado que el THP para evaluar el grado de estenosis mitral tras el implante de un clip mitral, y por lo tanto, debería usarse como método de elección en la práctica clínica habitual para evaluar el resultado del procedimiento en la sala de intervencionismo.
Este manuscrito es un artículo no financiado.
CONSIDERACIONES ÉTICASEl presente artículo se adhiere a la Declaración de Helsinki de la Asociación Médica Mundial y cuenta con la aprobación de ética del comité del Hospital Clínico San Carlos de Madrid. El estudio no presentó ningún tipo de riesgo para el paciente. No requirió consentimiento informado por tratarse de datos retrospectivos, y toda información obtenida se manejó con la más estricta confidencialidad por los investigadores. No se detectaron diferencias por sexos.
DECLARACIÓN SOBRE EL USO DE INTELIGENCIA ARTIFICIALNo se utilizó inteligencia artificial en este manuscrito.
CONTRIBUCIÓN DE LOS AUTORESM. Estrada Ledesma, D. Bastidas Plaza, E. Pozo Osinalde y J.A. de Agustín han contribuido a la concepción y el diseño, la adquisición de datos, su análisis e interpretación. M. Estrada Ledesma, D. Bastidas Plaza, E. Pozo Osinalde, P. Marcos-Alberca, C. Olmos Blanco, P. Mahia Casado, M. Luaces, J.J. Gómez de Diego, L. Nombela-Franco, P. Jiménez-Quevedo, G. Tirado, L. Collado Yurrita, A. Fernández-Ortiz, J. Villacastín y J.A. de Agustín han contribuido a la redacción del artículo o su revisión crítica.
Todos los autores han dado su aprobación a la versión final del artículo.
CONFLICTO DE INTERESESNinguno.
