ISSN: 1885-5857 Impact factor 2024 4.9
Vol. 79. Num. 1.
Pages 97-98 (January 2026)

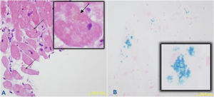
Image in cardiology
Iron heart: cardiomyopathy secondary to liver disease

Corazón de hierro: miocardiopatía secundaria a hepatopatía

María Fernández GarcíaaAndrés Castaño-GarcíabLuis Gutiérrez de la Vargaa
https://doi.org/10.1016/j.rec.2025.10.005

Options

Imagen extra
Rev Esp Cardiol. 2026;79:97-8

Identify yourself

Not yet a subscriber to the journal?

Purchase access to the article

By purchasing the article, the PDF of the same can be downloaded

Price: 19,34 €

Phone for incidents

Monday to Friday from 9am to 6pm (GMT+1) except for the months of July and August, which will be from 9am to 3pm

Calls from Spain 932 415 960
Calls from outside Spain +34 932 415 960