Palabras clave
La enfermedad coronaria es una de las principales causas de muerte y de incapacidad, con predicciones epidemiológicas que apuntan a que su morbimortalidad superará a la del cáncer y las enfermedades infecciosas en los próximos años en todos los países del mundo1. Las consecuencias devastadoras de esta enfermedad en la salud mundial se producen, en su mayor parte, por un mecanismo único, la muerte celular, que de forma directa o indirecta —a través del fallo contráctil, el remodelado ventricular y las arritmias— origina el desarrollo de insuficiencia cardiaca, incapacidad y muerte. El grado de extensión de la muerte celular (necrosis) causada por una oclusión coronaria aguda depende no sólo de la extensión del área en riesgo, sino también de la severidad y duración de la isquemia. En los últimos años se ha producido un auténtico avance médico que ha ayudado de forma significativa a mejorar la supervivencia y la calidad de vida de los pacientes con enfermedad coronaria. Este avance médico ha consistido en el desarrollo de tratamientos capaces de restaurar el flujo sanguíneo (terapia de reperfusión) en los pacientes con infarto agudo de miocardio.
Es bien conocido que la supervivencia de las células isquémicas depende de diversos factores, y que la duración de la isquemia a la que han estado sometidas en el momento en que se produce la restauración del flujo sanguíneo es el principal factor determinante del éxito de la terapia por reperfusión. Este conocimiento ha hecho que se invierta un gran esfuerzo en disminuir el tiempo que se tarda desde que un paciente siente un dolor torácico hasta que se le practica la reperfusión terapéutica. Sin embargo, cada vez es más costoso y difícil conseguir una reducción adicional de este intervalo y, a pesar de las mejoras en los procedimientos de reapertura de la arteria coronaria, que permiten una recanalización más efectiva, rápida, completa y permanente de las arterias coronarias ocluidas de forma aguda, la gran mayoría de los pacientes con síndrome coronario agudo con elevación del segmento ST continúan presentando necrosis miocárdicas más o menos extensas.
La terapia de reperfusión, ya sea con trombolisis o por procedimientos invasivos, no garantiza que las células isquémicas sobrevivan, y numerosos estudios de investigación llevados a cabo en las últimas dos décadas han establecido de forma inequívoca que, aunque la revascularización es la única alternativa posible para rescatar las células isquémicas de una muerte segura, una parte de la muerte celular se precipita, paradójicamente, por la propia restauración del flujo2. Este fenómeno, conocido como daño por reperfusión, ha sido exhaustivamente explorado en diversos modelos experimentales, pero sólo recientemente se ha reconocido su relevancia en el contexto de la reperfusión clínica. Por ello, la posibilidad de mejorar la eficacia de la trombolisis y de las intervenciones coronarias percutáneas mediante tratamientos cardioprotectores coadyuvantes empleados en el momento de la revascularización abre una nueva ventana terapéutica capaz de mejorar el resultado clínico cuando ya no es posible modificar el tiempo de isquemia.
El desarrollo de estrategias de cardioprotección se basa en el conocimiento de los mecanismos fisiopatológicos de la muerte celular aguda durante la reperfusión miocárdica. Aunque algunos de estos mecanismos han sido clásicamente conocidos por los cirujanos cardiovasculares (y prevenidos mediante estrategias de cardioprotección utilizadas en el contexto de la cirugía cardiaca), muchos otros se encuentran en fase de investigación. En los últimos años se ha producido un gran avance científico en el conocimiento y la identificación de diversos factores implicados en la muerte celular por reperfusión, y gracias a esta investigación se han identificado nuevas dianas terapéuticas potencialmente útiles para prevenirla.
NECROSIS MIOCÁRDICA EN LOS PRIMEROS MINUTOS DE LA REPERFUSIÓN
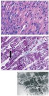
Cuando la reperfusión se produce lo suficientemente pronto para salvar miocardio isquémico en riesgo, que se encuentra reversiblemente dañado y habría desarrollado infarto si no se hubiera abierto la arteria, las células que son capaces de recuperar el control de la homeostasis iónica sobreviven; sin embargo, en una proporción variable de cardiomiocitos el desequilibrio iónico no sólo no se corrige, sino que empeora, y acaba por desencadenar la muerte celular inmediata en forma de necrosis. Este tipo de muerte se caracteriza porque se produce durante los primeros minutos de la restauración del oxígeno y del flujo sanguíneo, y se acompaña de rotura de las membranas celulares y liberación al medio extracelular del contenido de las células (principalmente enzimas citosólicas), lo que da lugar a una apariencia histológica característica de necrosis en bandas de contracción3, en la que que los cardiomiocitos individuales se encuentran masivamente acortados y con una desorganización completa de su estructura sarcomérica. Las imágenes ultraestructurales de estas células obtenidas mediante microscopio electrónico muestran rotura sarcolemal, edema mitocondrial y depósitos masivos de Ca2+ en la matriz mitocondrial, además de acortamiento y desorganización de las miofibrillas sarcoméricas (fig. 1).
Fig. 1. Imagen histológica de un miocardio porcino control (A) y de un miocardio porcino reperfundido después de una isquemia de 50 min (B), en el que se aprecia la desestructuración tisular, caracterizada por un gran acortamiento celular y el desarrollo de bandas de contracción (como la indicada por la flecha). C: detalle de la ultraestructura de una banda de contracción, con apelotonamiento de las proteínas sarcoméricas y edema y desestructuración de las mitocondrias.
Las características de esta necrosis se pueden reproducir en un experimento clásico de laboratorio, que consiste en someter a un corazón aislado de rata y perfundido retrógradamente a través de un sistema de Langendorff a una isquemia transitoria (normalmente, entre 40 y 60 min) y posterior reperfusión. Esta maniobra experimental produce una gran liberación de enzimas intracelulares (creatincinasa, lacatatodeshidrogenasa) en los primeros minutos de reperfusión, cuya magnitud se correlaciona con la extensión de las áreas de necrosis en bandas de contracción visualizadas a partir de los cortes histológicos. Este tipo de respuesta es la demostración experimental de que la muerte celular miocárdica ocurre de forma precoz en el momento de la restauración del flujo4. Como veremos, esta muerte celular puede prevenirse por intervenciones aplicadas en el momento de la reperfusión.
Los estudios llevados a cabo en modelos celulares de cardiomiocitos aislados han demostrado que la reoxigenación después de un periodo de isquemia simulada produce un acortamiento abrupto de la longitud celular en los primeros minutos de la reenergización, acompañado por una desorganización de la citoarquitectura, cuyas características ultraestructurales son coincidentes con las de la necrosis en bandas de contracción de los cortes histológicos5. Este tipo de respuesta a escala celular se ha denominado hipercontractura, y la probabilidad de que ocurra depende del tiempo transcurrido entre que se produce una depleción severa de las reservas intracelulares de ATP durante la isquemia y el momento en el que se establece la reenergización6. El análisis con cristales piezoeléctricos ultrasónicos de la longitud de los segmentos miocárdicos ha permitido determinar el grado de acortamiento miocárdico que se produce durante la reperfusión, detectado como una reducción de la longitud telediastólica por debajo del nivel basal, y cuya magnitud se correlaciona con la extension del área de necrosis en bandas de contracción7. Esta variable es una de las muchas determinaciones experimentales que indican que la necrosis en bandas de contracción de los infartos reperfundidos equivale a la hipercontractura observada en los cardiomiocitos aislados.
Pérdida de la homeostasis iónica durante la isquemia-reperfusión
Los mecanismos que conducen al acortamiento celular masivo por hipercontractura han sido objeto de intensa investigación en el modelo de miocitos aislados, en el que es posible analizar simultáneamente los cambios morfológicos y los desequilibrios iónicos en un entorno controlado. Este tipo de estudios ha demostrado que la hipercontractura está causada por la coincidencia de la reenergización (que reactiva la actividad contráctil de las miofibrillas dependiente de ATP) en presencia de una concentración anormalmente elevada de Ca2+ intracelular (que, en presencia de ATP, genera una fuerza contráctil incontrolada y excesiva) (fig. 2)8. La pérdida de la homeostasis del Ca2+ se inicia durante el periodo previo de isquemia, en el que se producen importantes cambios en la composición citosólica6.
Fig. 2. Secuencia temporal obtenida por microscopio confocal (× 400) de un miocito cardiaco de rata en condiciones control (normoxia), después de 20 min de isquemia simulada y durante los primeros 2 min de reenergización. La célula está marcada con un fluocrocromo específico que refleja los cambios en el potencial de membrana mitocondrial (JC-1), utilizado como un índice de la fosforilación oxidativa. La pérdida del color rojo en relación con el verde refleja la despolarización mitocondrial. A los 20 min de isquemia, la mayoría de las mitocondrias se encontraban despolarizadas debido a una depleción energética severa, que se acompaña de un acortamiento de la longitud celular o rigor isquémico. Durante los primeros minutos de reperfusión se produjo una repolarización mitocondrial rápida simultánea al desarrollo de hipercontractura.
Uno de los primeros desequilibrios iónicos que se instauran durante la isquemia es el aumento sostenido de la concentración intracelular de Na+ debido al fallo de la bomba Na+/K+ del sarcolema, que no puede operar en ausencia de energía, y la acidificación progresiva del citosol por la puesta en marcha de la glucolisis anaeróbica. La célula trata de corregir la sobrecarga de Na+ a través del intercambiador de membrana Na+/Ca2+ en su modo reverso, que no requiere energía para funcionar y que extruye el Na+ intracelular a costa de introducir Ca2+ al interior de la células, y de esta forma se inicia un proceso de pérdida progresiva del control de Ca2+, uno de los cationes que en condiciones fisiológicas se encuentra más estrictamente regulado en el medio intracelular.
La reenergización de las células que se encuentran en esta situación de riesgo puede precipitar un empeoramiento abrupto del control catiónico, principalmente por la puesta en marcha de mecanismos dirigidos a corregir la acidosis intracelular que acaban por empeorar aún más la sobrecarga citosólica de Na+. La llegada de flujo sanguíneo produce un lavado rápido de los catabolitos (fundamentalmente H+) del medio extracelular, lo que da lugar a un gradiente de pH entre las células y su entorno, causa de la activación de los mecanismos de corrección de la acidosis intracelular (principalmente a través del intercambiador Na+/H+ de la membrana plasmática y del cotransportador Na+/HCO3-). Esta respuesta de corrección de la acidosis intracelular empeora aún más la sobrecarga citosólica de Na+ que, de nuevo, es manejada por la célula activando el modo inverso del intercambiador Na+/Ca2+, lo que produce9 un influjo adicional de Ca2+. La entrada de Ca2+ a través del modo inverso del intercambiador Na+/Ca2+ es poco relevante en condiciones fisiológicas en los miocitos humanos, pero puede ser deletérea cuando la célula se encuentra sobrecargada de Na+. Como resultado de todos estos mecanismos de corrección en cadena la célula reoxigenada acumula una gran cantidad de Ca2+ en su interior, comprometiendo seriamente su propia supervivencia. De hecho, la inhibición farmacológica del intercambio Na+/Ca2+ con KB-R7943 se ha mostrado capaz de reducir la sobrecarga citosólica de Ca2+ en cardiomiocitos aislados y el tamaño de infarto en un modelo de oclusión coronaria transitoria in situ9.
Edema celular, fragilidad estructural y uniones intercelulares
Además de los cambios iónicos que se producen en el citosol descritos más arriba, la reactivación del metabolismo energético tiene consecuencias directas en la integridad y el funcionamiento de estructuras celulares vitales (citoesqueleto, orgánulos intracelulares y sarcolema). En primer lugar, la aparición de edema celular por efecto del lavado de los metabolitos que estaban acumulados en el espacio extracelular crea un gradiente osmótico transarcolemal y favorece la entrada de agua al interior de las células. El aumento de volumen en células que tienen el citoesqueleto y la membrana celular fragilizados favorece la pérdida de la integridad celular. Los estudios experimentales han demostrado que la reperfusión hiperosmótica puede tener efectos beneficiosos en el tamaño del infarto al reducir el grado de edema y la muerte celular10.
En segundo lugar, el desarrollo de fragilidad mecánica durante la isquemia puede reducir significativamente la resistencia de las células al propio estrés mecánico impuesto por la reperfusión. Los mecanismos que conducen a la fragilización de las estructuras celulares no son bien conocidos, pero se ha descrito que la activación de las calpaínas puede dar lugar a una proteolisis de estructuras del citoesqueleto subsarcolemal11,12. Las calpaínas son proteasas activadas por Ca2+ que se encuentran inhibidas por la acidosis, pero desempeñana un papel crítico en la muerte de los cardiomiocitos durante la reperfusión, por la concurrencia de la sobrecarga de Ca2+ y la normalización del pH. La degradación —mediada por calpaína— de la ankirina, una proteína que participa en el anclaje de la bomba Na+/ K+ ATPasa de la membrana al citoesqueleto subsarcolemal, es una causa importante de disfunción de la bomba de Na+ durante la reperfusión inicial13. Esta degradación proteinolítica puede dar pie a la instauración de un círculo vicioso, en el que la sobrecarga de Na+ favorezca la entrada adicional de Ca2+ y perpetúe el estado de activación de las calpaínas que, a su vez, empeoran la sobrecarga de Na+ intracelular, lo que desencadena el desarrollo de hipercontractura y muerte celular.
Incluso en presencia de fragilidad, la hipercontractura no suele causar rotura del sarcolema en miocitos aislados, pero sí en las células intactas que forman parte del tejido miocárdico. Esta diferencia en la respuesta al estrés mecánico impuesto por la hiperactivación contráctil puede tener varias explicaciones. Una de ellas es que la ausencia de edema osmótico en los miocitos aislados reoxigenados (en los que no se produce efecto de lavado durante la reperfusión) reduce la tensión mecánica del sarcolema secundaria al desarrollo de hipercontractura14,15.
Otra posible explicación es que la presencia de uniones intercelulares en el tejido intacto impone fuerzas de tensión y desgarro durante el acortamiento celular que facilitan la rotura de la membrana celular. Estudios realizados en nuestro laboratorio han demostrado que la hipercontractura de un miocito puede transmitirse a los miocitos adyacentes a través de las uniones intercelulares de tipo gap junction, y que la propagación célula a célula de la hipercontractura contribuye al tamaño final de los infartos reperfundidos16,17. El uso de inhibidores farmacológicos de la comunicación intercelular se ha demostrado efectivo en la reducción de la muerte celular durante los primeros minutos de reperfusión en diversos modelos experimentales18,19. Nuestro laboratorio ha demostrado que el mecanismo de esta propagación del daño celular se basa en el paso de Na+ a través de las gap junctions desde el miocito hipercontraído a los miocitos adyacentes, y a la ulterior activación del intercambio Na+/Ca2+ en la célula adyacente, lo que a su vez induce sobrecarga de Ca2+ y desarrollo de hipercontractura en esa célula20.
El retículo sarcoplásmico y las mitocondrias en la génesis de la hipercontractura y la muerte celular
En condiciones fisiológicas los cardiomiocitos consumen una gran cantidad de energía química para producir el trabajo mecánico. La contracción miofibrilar es un fenómeno altamente regulado y sincrónico, que está mediado por aumentos transitorios del Ca2+ citosólico procedentes, en su mayor parte, del retículo sarcoplásmico. La participación del retículo sarcoplásmico en algunas enfermedades y, en particular, en la génesis de ciertos tipos de arritmias, en la progresión de la insuficiencia cardiaca y en la miocardiopatía diabética, se conoce desde hace tiempo. Mucho menos conocida, sin embargo, es la contribución del retículo sarcoplásmico al desarrollo del daño letal por reperfusión, a pesar de que hay sólidas evidencias experimentales que demuestran que puede desempeñar un papel decisivo en la muerte necrótica de los cardiomiocitos. Durante los primeros minutos de la reperfusión miocárdica, el retículo sarcoplásmico se encuentra en un entorno de gran sobrecarga de Ca2+, y la reactivación mitocondrial de la síntesis de ATP pone en marcha el funcionamiento de la Ca2+-ATPasa del retículo sarcoplásmico (SERCA), encargada de la captación del Ca2+ citosólico, incluso a pesar de la persistencia de un flujo de Ca2+ aumentado desde el medio extracelular. Como resultado de ello, se produce una gran acumulación de Ca2+ en el interior del retículo sarcoplásmico que excede su capacidad de almacenamiento, por lo que finalmente el Ca2+ es extruido a través de los receptores de ryanodina (RyR) y luego vuelve a ser captado, lo que da lugar a un patrón de oscilaciones rápidas de Ca2+ que se propagan a lo largo de la célula e imponen una fuerza mecánica que puede sobrepasar la capacidad elástica de los sarcómeros21. Diversos estudios experimentales han demostrado que el bloqueo farmacológico de las oscilaciones del Ca2+ por parte del retículo sarcoplásmico reduce la incidencia de hipercontractura en miocitos reoxigenados22 y que la activación de vías de señalización intracelulares que interfieren con los movimientos del Ca2+ dependientes del retículo sarcoplásmico —por ejemplo, con agonistas del péptido natriurético— confieren protección durante la reperfusión miocárdica, tanto en animales como en humanos23,24.
Aunque la hipercontractura por sí sola puede ser un factor determinante en la rotura del sarcolema, existen otros mecanismos propuestos recientemente que también pueden contribuir al daño por reperfusión y a la muerte celular. Uno de los que están siendo actualmente objeto de intensa investigación es la pérdida de la integridad de las mitocondrias cuando concurren ciertas condiciones patológicas (sobrecarga de Ca2+, déficit energético, daño oxidativo), por un cambio brusco en la permeabilidad de sus membranas, un fenómeno conocido como transición de permeabilidad mitocondrial25. Este cambio brusco en la permeabilidad mitocondrial produce un desacoplamiento de la respiración celular y un colapso energético incompatible con la supervivencia celular26. La transición de la permeabilidad mitocondrial se ha documentado durante la reperfusión miocárdica, como consecuencia principalmente del daño oxidativo y la sobrecarga de Ca2+ y por la rápida corrección de la acidosis intracelular, uno de los inhibidores más efectivos de este cambio de permebilidad mitocondrial (fig. 3)27-29. Aunque parece claro que la transición de la permeabilidad mitocondrial produce liberación del citocromo C y pone en marcha la cadena de señalización que conduce a la apoptosis celular, el mecanismo por el que causa necrosis en el miocardio reperfundido no se conoce bien30. De hecho, el colapso energético secundario a la permeabilización mitocondrial es difícil de reconciliar con el desarrollo de hipercontractura, ya que tanto los primeros estudios sobre daño letal por reperfusión31 como los datos recientes obtenidos con espectroscopia por resonancia magnética (datos no publicados) demuestran que la hipercontractura es un fenómeno dependiente de energía. Tampoco está claro el mecanismo por el que la depleción energética inducida por el cambio de permeabilidad mitocondrial puede causar rotura del sarcolema en los primeros minutos de la reperfusión. Estudios recientes en cardiomiocitos aislados, en los que se induce la transición de la permeabilidad mitocondrial mediante estimulación con pulsos de láser, indican que la transición de permeabilidad en unas pocas mitocondrias dentro de la célula puede empeorar el manejo del Ca2+ celular, ya que se acompaña de una liberación del Ca2+ mitocondrial hacia el espacio citosólico, lo que favorece el desarrollo de hipercontractura siempre que la célula conserve un número suficiente de mitocondrias intactas capaces de mantener la demanda energética32.
Fig. 3. Secuencia temporal obtenida por microscopio confocal (× 400) de un miocito cardiaco de rata durante los primeros minutos de reperfusión, en el que las mitocondrias se han marcado con calceína, un fluorocromo que se queda atrapado en su interior a menos que se produzca una transición de la permeabilidad mitocondrial. En este ejemplo concreto, el aparato contráctil de la célula fue bloqueado con BDM para prevenir el desarrollo de hipercontractura y evitar artefactos en la intensidad de la señal fluorescente. Durante los primeros minutos de reperfusión, se produjo una caída importante de la señal fluorescente mitocondrial, indicio de permeabilización mitocondrial.
En la figura 4 se muestra un esquema del mecanismo fisiopatológico del daño por reperfusión.
Fig. 4. Representación esquemática de los mecanismos que conducen a la muerte celular durante los primeros minutos de reperfusión. RLO: radicales libres de oxígeno.
La contribución de otros tipos celulares al daño por isquemia-reperfusión
Por último, no hay que olvidar que aunque la mayor parte de las características de la necrosis secundaria a una isquemia miocárdica transitoria pueden reproducirse experimentalmente en preparaciones de cardiomiocitos aislados y en corazones aislados y perfundidos, otros tipos celulares, como las plaquetas, los neutrófilos y los fibroblastos, entre otros, pueden contribuir al daño por reperfusión y a la extensión final de la muerte celular. En particular, las plaquetas activadas durante la isquemiareperfusión se adhieren al endotelio microvascular del miocardio reperfundido a través de la L-selectina y liberan factores que contribuyen a la pérdida de la homeostasis del Ca2+ y a la muerte miocitaria33-35.
DE LA INVESTIGACIÓN DE LABORATORIO A LOS PACIENTES: LOS RETOS DE LA MEDICINA TRASLACIONAL
El daño letal por reperfusión puede ser un objetivo terapéutico en pacientes con infarto agudo de miocardio. La posibilidad de aplicar tratamientos coadyuvantes durante la angioplastia se debe basar en el conocimiento de los mecanismos moleculares y celulares que conducen a la muerte necrótica aguda durante la reperfusión miocárdica. Sin embargo, a menudo la investigación básica encuentra numerosas barreras para su traslación al contexto clínico, y aunque ciertos fármacos e intervenciones han demostrado ser eficaces para reducir la muerte celular en modelos celulares y animales, casi nunca llegan a desarrollarse comercialmente para su uso en humanos. Las razones del fracaso en la traslación de la investigación biomédica suelen atribuirse a las diferencias que existen entre especies en la patogenia de las enfermedades y en la respuesta a los tratamientos, y a que los modelos experimentales no son capaces de reproducir adecuadamente la complejidad de los procesos fisiopatológicos que tienen lugar en el contexto clínico, pero existen otras muchas razones que pueden explicar este fracaso.
Falta de adecuación en la traslación de los conocimientos
Una de las aproximaciones experimentales que ha tenido un efecto protector claro tanto en modelos animales como en órganos perfundidos o células en cultivo es la inhibición del intercambiador Na+/H+ con cariporide36,37. La acidosis intracelular que se instaura progresivamente durante la isquemia contribuye a la sobrecarga patológica de Na+, por acción del intercambiador Na+/H+ de la membrana celular. Este mecanismo no es operativo en células normales, de forma que la inhibición del intercambiador podría constituir una buena diana terapéutica capaz de actuar específicamente durante el proceso patológico. Experimentos realizados por nuestro grupo y por otros grupos de investigación han demostrado que, efectivamente, la inhibición del intercambiador Na+/H+ con cariporide antes de una oclusión coronaria es capaz de reducir significativamente el tamaño de la necrosis en la reperfusión, pero su mecanismo de acción no se basa en prolongar la acidosis, como se había previsto, sino en retrasar la depleción de las reservas energéticas celulares y la aparición de rigor isquémico38,39. Su administración en el momento de la reperfusión no tiene ningún efecto en el tamaño del infarto porque los cardiomiocitos son capaces de corregir la acidosis intracelular a pesar de tener el intercambiador Na+/H+ inhibido mediante otros mecanismos paralelos (fundamentalmente el cotransportador Na+/HCO3), que contribuyen a la sobrecarga de Na+ y Ca2+ y contrarrestan el efecto protector de cariporide40.
A pesar de estas evidencias, se han llevado a cabo diversos ensayos clínicos con el objetivo de investigar el efecto protector de la inhibición del intercambiador Na+/H+ en pacientes con infarto agudo de miocardio: el estudio Guard During Ischemia Against Necrosis (GUARDIAN)41, el estudio Evaluation of the Safety And Cardioprotective Effects of Eniporide in Acute Myocardial Infarction (ESCAMI)42 y el estudio Sodium-Hydrogen Exchange Inhibition to Prevent Coronary Events in Acute Cardiac Conditions (EXPEDITION)43. El estudio GUARDIAN incluyó a más de 11.000 pacientes con síndrome coronario agudo, que fueron sometidos a angioplastia o se les practicó cirugía, y que recibieron cariporide a distintas dosis (20 mg, 80 mg o 120 mg). La administración de cariporide a altas dosis fue protectora cuando los pacientes recibieron el tratamiento antes de la isquemia (un requisito que se cumplió únicamente en el subgrupo de pacientes que eran sometidos a cirugía de bypass). El fármaco no tuvo efectos protectores en las demás variables de estudio (tasa de reinfartos, evolución de los pacientes que no llegaron a presentar isquemia severa), de acuerdo con lo que habían previsto los estudios experimentales. En el estudio ESCAMI se seleccionó específicamente a pacientes con oclusión coronaria con elevación del segmento ST sometidos a reperfusión (un total de 959) y se administró eniporida (hasta 200 mg) en el momento de la reperfusión. Los resultados de este estudio fueron negativos, y el tratamiento farmacológico resultó ser seguro pero ineficaz. A la vista de los resultados positivos en el subgrupo de pacientes que eran sometidos a cirugía del estudio GUARDIAN, se diseñó el estudio EXPEDITION, un gran ensayo clínico que incluyó a más de 5.700 pacientes sometidos a cirugía de bypass aortocoronario, a los que se administró una dosis muy elevada de cariporide (más de 200 mg) durante un lapso muy prolongado. Los resultados de este estudio también demostraron una reducción del daño miocárdico, tal como se había descrito en el estudio GUARDIAN, pero hubo un aumento significativo en la incidencia de accidentes cerebrovasculares asociado al tratamiento. En conjunto, se trata de una serie de ejemplos en los que la investigación traslacional ha fracasado por la inadecuación del diseño de los estudios clínicos (tanto en la selección de la población como en las variables de estudio, las dosis y el tiempo de administración del tratamiento farmacológico) a los resultados experimentales.
Otro problema que se presenta con frecuencia a la hora de trasladar los resultados experimentales a los estudios clínicos es que se ponen a prueba dianas terapéuticas cuyo papel fisiopatológico es dudoso o sobre las que no hay evidencia científica suficientemente sólida. Así, por ejemplo, se han diseñado numerosos estudios clínicos para probar el efecto cardioprotector de los fármacos que inhiben la formación de los radicales libres del oxígeno, con resultados negativos o controvertidos44, basándose en la hipótesis de que los radicales libres del oxígeno, cuando se aplican exógenamente, son perjudiciales. Sin embargo, una limitación importante de esta hipótesis es que no hay datos mecanísticos experimentales que establezcan una relación causaefecto entre la producción de radicales libres del oxígeno durante la reperfusión y el desarrollo de hipercontractura y muerte celular.
La dificultad de seleccionar dianas terapéuticas de interés para el desarrollo de fármacos
El intercambiador Na+/Ca2+ de la membrana celular es la última causa de sobrecarga de Ca2+ durante la reperfusión9,20,45. La activación de este intercambiador en su modo inverso sirve para que la célula se deshaga del exceso de Na+ que se ha acumulado durante la isquemia a costa de una entrada deletérea de Ca2+ desde el medio extracelular. Este intercambio es irrelevante en células sanas con un buen control de la concentración intracelular de Na+, pero es crítico para los miocitos que han sufrido una isquemia previa. Los resultados experimentales han aportado evidencias sólidas que demuestran que la inhibición de este intercambiador en el momento de la reperfusión utilizando un fármaco específico no comercializado, el KB-R7943, es capaz de reducir de forma significativa la sobrecarga de Ca2+ citosólico y la hipercontractura en miocitos cardiacos aislados reperfundidos, y esto se traduce en una reducción del tamaño de infarto en corazones aislados de rata y en el corazón porcino con oclusión coronaria transitoria in situ9,20. Otros estudios, utilizando animales genéticamente modificados, han confirmado el mecanismo por el que ese fármaco es protector en el daño por reperfusión46. No obstante, a pesar de la solidez de las evidencias experimentales, ninguna compañía farmacéutica ha invertido el esfuerzo necesario para desarrollar un fármaco capaz de inhibir de forma específica y segura el intercambiador Na+/Ca2+. Como consecuencia de ello, no se ha llegado a hacer ningún estudio clínico en humanos en el contexto de la reperfusión miocárdica.
El GMPc es un segundo mensajero que desempeña numerosas funciones celulares y diversos estudios han demostrado que se encuentra disminuido en los cardiomiocitos sometidos a isquemia-reperfusión47. Los primeros experimentos diseñados para explorar el potencial efecto cardioprotector del GMPc durante la reperfusión se llevaron a cabo en miocitos cardiacos aislados48, y demostraron que la estimulación de la síntesis de GMPc (o la exposición a miméticos solubles del GMPc) era capaz de disminuir la hipercontractura y la muerte celular durante la reperfusión. Estudios posteriores han probado que la administración exógena de L-arginina (capaz de aumentar la disponibilidad de NO y, por lo tanto, de GMPc) también protege el corazón aislado de rata y el corazón porcino intacto contra el daño por reperfusión49. Sin embargo, el aumento de la disponibilidad de NO producido por la L-arginina puede tener muchos otros efectos además de incrementar la síntesis de GMPc, y es una intervención que debe ser aplicada previamente a la reperfusión, lo que limita significativamente su potencial terapéutico. Para paliar esta deficiencia, se han diseñado otras aproximaciones experimentales con el objetivo de aumentar la concentración miocárdica de GMPc mediante estimulación de la guanilato ciclasa particulada con urodilatina. Esta intervención, aplicada en los primeros minutos de la reperfusión, ha sido capaz de atenuar la hipercontractura y reducir significativamente la extensión de la necrosis en corazones de rata aislados sometidos a isquemia-reperfusión50 y en corazones porcinos intactos sometidos a oclusión coronaria transitoria, en ausencia de efectos hemodinámicos23. Otros laboratorios han documentado de forma consistente un efecto protector de las intervenciones dirigidas a aumentar la concentración de GMPc en el miocardio reperfundido. Además, se han propuesto diversos mecanismos por los que el GMPc puede tener efectos beneficiosos durante la reperfusión miocárdica, como la reducción de las oscilaciones de Ca2+ desde el retículo sarcoplásmico y las arritmias51 y la inhibición de la comunicación intercelular52, además de la inhibición de la activación plaquetaria. Se trata, por lo tanto, de una diana terapéutica capaz de reducir las consecuencias del daño celular asociado a la sobrecarga de Ca2+ una vez que ésta ya se ha establecido.
A diferencia de otras intervenciones experimentales, el concepto de cardioprotección mediante la estimulación del GMPc sí que ha sido probado en pacientes. La administración intravenosa de péptido natriurético auricular en el momento de la reperfusión en pacientes con infarto agudo de miocardio se ha asociado a un menor remodelado del ventrículo izquierdo, después de 1 mes de seguimiento, comparado con los controles53. Más recientemente, se ha demostrado el efecto protector del ANP recombinante humano en un estudio clínico doble ciego54. A pesar de estas evidencias, no se han realizado suficientes estudios clínicos en pacientes sobre el potencial efecto protector de estos fármacos en la cardioprotección, porque no se lo ha considerado un tema de interés prioritario.
Recientemente se ha realizado un estudio piloto en pacientes para probar el efecto protector de la inhibición de la transición de permeabilidad mitocondrial administrando ciclosporina A inmediatamente antes de la intervención coronaria percutánea55. La transición de permeabilidad mitocondrial ha sido identificada en numerosos estudios experimentales como un mecanismo inductor de muerte celular necrótica durante la reperfusión. En este estudio, 58 pacientes con infarto agudo de miocardio con elevación ST fueron aleatorizados a recibir un bolo intravenoso de ciclosporina A (2,5 mg/kg) o placebo. Aunque el tiempo previo de isquemia y el área en riesgo eran similares en los dos grupos, la administración de ciclosporina A redujo significativamente el tamaño de infarto (CK, troponina I y RMN) en el grupo que recibió tratamiento. Se puede argumentar que la ciclosporina A es un fármaco pleiotrópico, con efectos inmunosupresores y poco específicos, y que es cuestionable el mecanismo de acción por el que ejerce su efecto cardioprotector, pero este estudio tiene el valor de haber probado con éxito una hipótesis experimental en pacientes.
De forma similar, se ha trasladado el concepto de cardioprotección por poscondicionamiento isquémico a pacientes con infarto agudo de miocardio. El poscondicionamiento isquémico es el fenómeno por el cual episodios breves de oclusión y reapertura de la arteria coronaria en el momento de la reperfusión reducen la muerte celular, una estrategia que ha sido probada en diversos modelos animales y en órganos perfundidos, aunque los mecanismos moleculares implicados siguen siendo controvertidos. En el estudio de Staat et al56, 30 pacientes sometidos a angioplastia coronaria fueron aleatorizados a un grupo control o a un grupo de poscondicionamiento, en el que el balón de angioplastia fue hinchado y deshinchado alternativamente durante cuatro episodios de 1 min cada uno. El tamaño de infarto, determinado por la liberación de CK a las 72 h, fue significativamente menor en el grupo de pacientes poscondicionados.
EL FUTURO DE LA PROTECCIÓN MIOCÁRDICA CONTRA LA MUERTE CELULAR SECUNDARIA A LA ISQUEMIA-REPERFUSIÓN
A pesar del enorme progreso que se ha producido en las dos últimas décadas en el conocimiento de los mecanismos fisiopatológicos que conducen al daño letal por reperfusión, algunos resultados son controvertidos y se sigue sin conocer muchos de los factores involucrados. El futuro de la investigación cardiovascular debe orientarse hacia un enfoque menos compartimentalizado, que incluya: a) la biología de sistemas; b) los estudios de fisiología integrada, y c) la multidisciplinariedad.
La biología de sistemas puede permitir desentrañar la complejidad de los modelos biológicos que, en general, funcionan como redes constituidas por una infinidad de nodos, mediante el estudio intergral de los sistemas complejos a partir de técnicas cuantitativas de alto rendimiento y utilizando modelos de simulación por ordenador57. Este abordaje permite hacer predicciones más exactas (biología predictiva) y establece de forma más fiable la relación que existe entre un efecto biológico concreto y el estímulo que lo ha desencadenado (biología integrativa). El estudio en red de los sistemas biológicos requiere una tecnología de alto rendimiento y el desarrollo de modelos matemáticos sofisticados, que sólo ahora empiezan a estar disponibles. Un ejemplo de ello es la espectroscopia por resonancia magnética, una herramienta que permite hacer estudios metabonómicos complejos en los que se puede comparar patrones generales de muchos metabolitos de forma simultánea58. Por otra parte, los estudios de fisiología integrada permiten investigar de forma directa la relación entre las vías metabólicas implicadas en un determinado proceso y el efecto real de ese proceso en la morfología o la función celular. Este enfoque aporta información relevante sobre la respuesta integrada de una célula u organismo a un determinado estímulo, aunque su principal limitación sigue siendo su gran dependencia de las condiciones experimentales. Por último, el enfoque multidisciplinario debería permitir abordar los problemas biológicos desde una perspectiva más amplia, tanto desde el punto de vista técnico como del conocimiento, facilitando de esta forma el desarrollo de nuevas estrategias de cardioprotección y el correcto diseño de los estudios clínicos.
CONClusIONes
El tratamiento del daño por reperfusión emerge como una oportunidad real de disminuir la muerte celular y mejorar el pronóstico de los pacientes con infarto de miocardio sometidos a reperfusión. Los resultados positivos obtenidos en varios estudios clínicos recientes apoyan esta idea. Sin embargo, será necesario un intenso esfuerzo de investigación traslacional y la participación decidida de la industria para llevar el tratamiento cardioprotector a la práctica clínica en pacientes con infarto agudo de miocardio.
AGRADECIMIENTOS
Parcialmente financiado por el proyecto FIS-PI060996 y por la Red-RETICS del Instituto de Salud Carlos III RECAVA.
Full English text available from: www.revespcardiol.org
Correspondencia: Dr. D. García-Dorado.
Servicio de Cardiología. Hospital Universitari Vall d'Hebron. Pg. Vall d'Hebron, 119-129. 08035 Barcelona. España.
Correo electrónico: dgdorado@vhebron.net
