A 16-year-old boy with a history of ulcerative colitis presented at our hospital complaining of crushing retrosternal pain at rest. He was afebrile and the physical examination was normal. The electrocardiogram showed ST-segment depression in the precordial leads during episodes of pain (figure 1A, circle); the depression disappeared with the pain (figure 1B). Troponin I levels ranged from 341 to 6162 ng/L. Transthoracic echocardiography showed inferolateral hypokinesis with a left ventricular ejection fraction of 50% and a mobile vegetation measuring 15 mm in diameter attached to the aortic side of the right coronary cusp (figure 2A, arrow; LA, left atrium; Ao, aorta; LV, left ventricle). Presence of the vegetation was confirmed by transesophageal echocardiography (figure 2B, arrow). Serologies and blood cultures, including those for fastidious microorganisms such as HACEK bacteria (Haemophilus, Aggregatibacter, Cardiobacterium, Eikenella, and Kingella), were negative. Cardiac magnetic resonance imaging showed mild hyperintensity and late gadolinium enhancement in the inferolateral subendocardial layer (figure 2C, arrow).
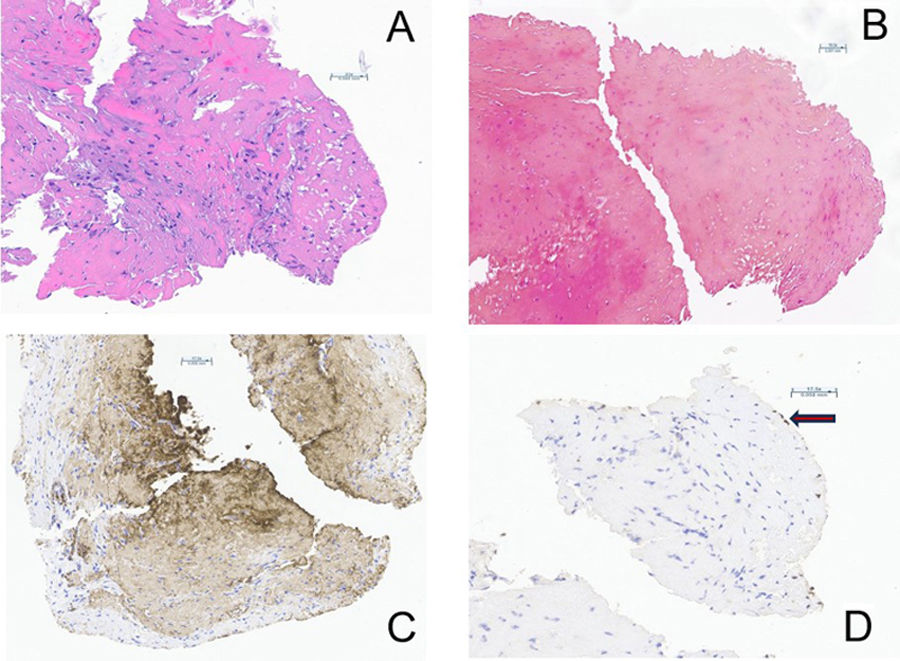
The patient was started on anticoagulant therapy with enoxaparin, but this did not reduce the size of the vegetation. Due to the risk of further embolization, the mass was surgically removed on day 7 of admission. Histologic examination revealed a fragment containing fibrinothrombotic material with mixed acute and chronic inflammatory foci (figure 3A); no microorganisms were observed (figure 3B). Immunohistochemical staining with CD61 showed platelet aggregates in the thrombotic phase (figure 3C); thrombotic material was also seen in the endothelial cells (figure 3D, arrow).
Nonbacterial thrombotic endocarditis, also known as marantic endocarditis, is a rare condition typically associated with cancer and lupus, but not to date with ulcerative colitis. Histology confirmed the diagnosis and ruled out other causes, such as tumors and infectious endocarditis.
FUNDINGNone.
ETHICAL CONSIDERATIONSInformed consent was obtained from the patient for the publication of this report. The study was approved by the Córdoba Research Ethics Committee. Potential sex and gender biases were considered.
USE OF ARTIFICIAL INTELLIGENCEArtificial intelligence was not used for this work.
AUTHORS’ CONTRIBUTIONSAll the authors contributed equally to this document.
CONFLICTS OF INTERESTThe authors have no conflicts of interest to declare.
